
Jonas Salk (1914-1995), Universidad de Pittsburg, desarrolló en 1951 la vacuna de la polio con virus inactivado.
EXPOSICIÓN
Barcelona, 25-28 de noviembre de 2008. LX Reunión Anual de la SEN
Poliomielitis y encefalitis letárgica de von Economo
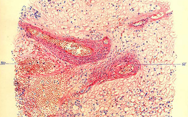
La poliomielitis es una enfermedad infecciosa producida por un poliovirus, el cual lesiona y destruye las neuronas del asta anterior de la médula espinal y sus homólogas del tronco cerebral.
En las últimas décadas, gracias a los programas de inmunización, la poliomielitis ha desaparecido de los países desarrollados.
Los primeros casos de encefalitis letárgica descritos por von Economo se producen a finales del año 1916. Corresponden a pacientes ingresados en la Clínica Psiquiátrica de Viena. En todos se observaba un estado prodrómico similar al de un cuadro gripal (síntomas respiratorios de vías altas, mialgias y fiebre), seguidos rápidamente de manifestaciones neurológicas, destacando una especial tendencia al sueño.
La encefalitis letárgica tuvo en España su pico de máxima incidencia entre los años 1919 y 20, tras la epidemia de gripe acontecida en 1918.
Organización
Comisario: Dres. M. Balcells Riba, V. Fernández-Armayor
Diseño: María Botey
Agradecimientos: Dr. Juan Antonio Barios Heredero, Dr. David Ezpeleta Echavarri, Dr. Antonio Martin Araguz
Contenido
![]() |
|---|
| Publicaciones |
| Las enfermedades que fueron |